Urban Dental Studio
Dr. Juliane Smith
Book an Appointment
Like us on Facebook
Leave a Google Review
Instagram
09-216 0915
General and Aesthetic Dentistry
12/40 Stonefields Ave, Stonefields, Auckland, 1072
Menu
Call
Book Now
Map
Home
About
Our Team
Technology
Our Facilities
Services
View All
General Dentistry
Cosmetic Dentistry
Dental Implants
Tooth-Coloured Fillings
Professional Teeth Whitening
Porcelain Veneers
Emergency Services
Digital X-Rays
Crowns and Bridges
Facial Rejuvenation
Myofunctional Therapy Treatment
Smile Gallery
Patient Info
View Patient Info
Fill Out Forms Online
Our Fees & Payment Options
FAQs
Blog
Contact
Urban Dental Studio
>
Smile Gallery
>
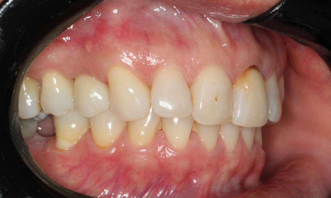
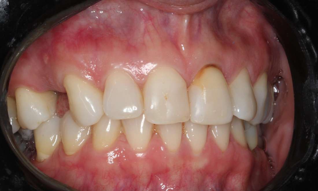
Implant Supported Crown
Implant Supported Crown
Return to Smile Gallery
Previous
Next
Click image to see a larger picture
Before
After
Getting an appointment is
fast
and
easy
!
Get Started!
Any surgical or invasive procedure carries risks. Before proceeding, you should seek a second opinion from an appropriately qualified health practitioner.
OK!
×
×
Contact Us Today
Give Us A Call
Urban Dental Studio -
09-216 0915
Send Us an Email
Ready to Schedule an Appointment?
Book an Appointment
Have Questions? Contact Us:
Required Field
Your Name:
Phone:
Email:
Are you a new patient?:
Are you a?
New Patient
Current Patient
How would you like us to contact you?
Please choose
Email
Call
How did you hear about us?
Please choose
I'm an existing patient
Google/Bing
Mailer
Word of mouth
Social media
Other
Who Referred You?:
Your Message:
This site is protected by reCAPTCHA and the Google
Privacy Policy
and
Terms of Service
apply.
Sending...
×
This Patient's Experience
Loading Testimonial...
Loading Case...