Urban Dental Studio

Dental Implants, Crowns & Maryland bridge

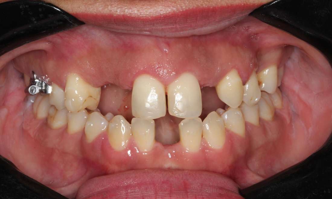
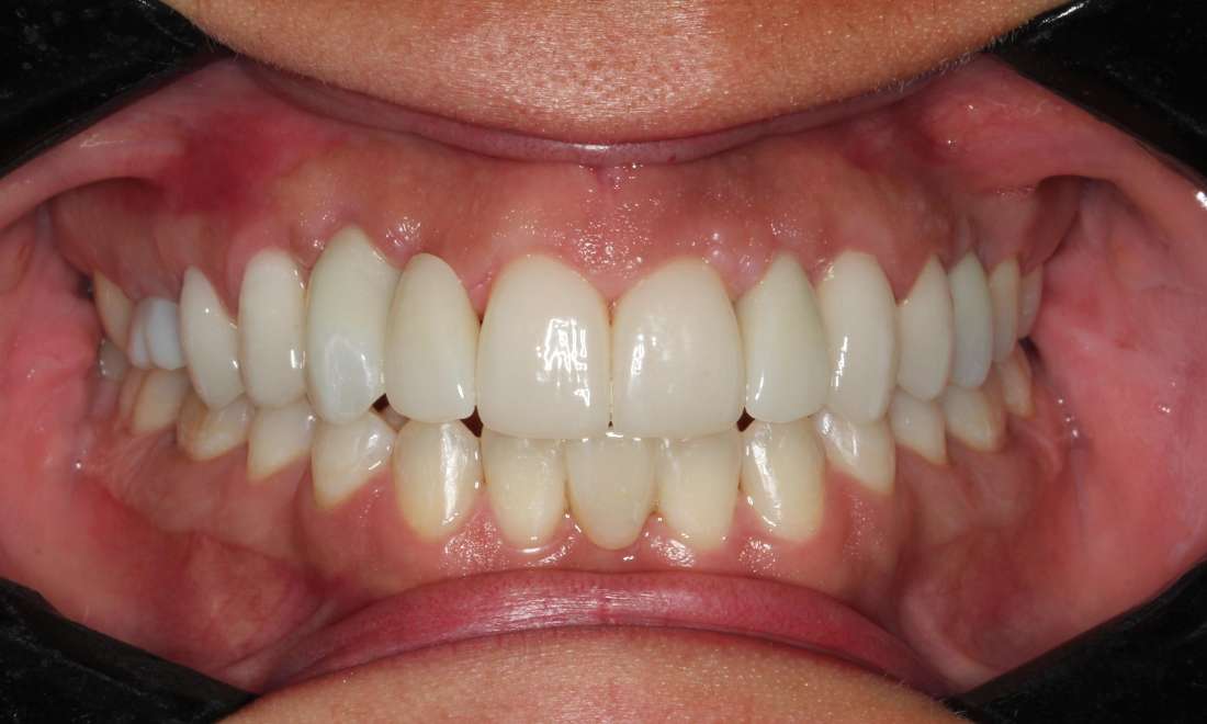
Dental implants for upper teeth to fill in gaps.

Crowns on upper front teeth for cosmetic uniform appearance.

Maryland bridge on lower teeth to fill in gap. 

Have Questions?
Any surgical or invasive procedure carries risks. Before proceeding, you should seek a second opinion from an appropriately qualified health practitioner.