Teeth whitening is the process of lightening the shade of the teeth. There are many reasons teeth can discolour over time.
Whitening Products
There are many different products that claim to effectively whiten teeth. These may include:
- Professional whitening completed in the dental chair.
- Custom-made whitening kit using whitening gel and trays.
- DIY whitening kits.
- Whitening toothpastes
- Charcoal toothpastes
Whitening ingredients
Teeth whitening done by dentists involves chemically treating the teeth with hydrogen peroxide or carbamide peroxide. These are the main ingredients used in tooth whitening products. The strength of the tooth whitening gel used depends on whether you have your treatment at a dental clinic or at home. Dentists can use higher strength whitening gels, while other beauty clinics or on the shelf products are limited to products containing 12% or less.
Hydrogen peroxide is an ingredient in some 'whitening toothpastes'.
Phthalimidoperoxycaproic acid (PAP) is another ingredient in some whitening toothpastes.
Treatment options
There are two main ways a dental clinician can whiten teeth with either professional whitening completed in the dental chair or custom-made whitening kit using whitening gel and trays.
In-chair or in-office teeth whitening means the treatment is done for you in the dental clinic. This treatment uses strong hydrogen peroxide gel and often a light is placed over the teeth. You should leave your dental appointment with whiter teeth, however results will vary between patients. You may be recommended to use a custom made whitening treatment to keep your teeth white as the whitened teeth fade over time.

Take-home teeth whitening treatment is done at home by the patient under the supervision of their dentist. Custom-made thin, plastic trays that only fit your teeth are used. You place gel in the trays at home and wear them for periods of time and do this regularly over a period of days to whiten the teeth.
Your dental clinician will tell you:
• how to put the whitening gel in the trays.
• how much whitening gel to use each time.
• how long to wear the trays for each day.
• how many weeks to do the treatment.
This method takes longer than in-chair teeth whitening, but this does not mean that the result is better or worse. Your dentist will discuss your options and give you advice on what treatment is best for you.

As mentioned earlier teeth whitening toothpastes are another way to whiten teeth. These work by helping to reduce stains on the outside surface of teeth. Whitening toothpastes do not tend to make a large difference to the colour of the teeth.
DIY whitening kits can be purchased over the counter from stores; however, the strength of the gel will be weaker than a custom-made kit purchased from a dental clinic, therefore the results will be less effective.
Risks of teeth whitening products
It is highly recommended before undertaking any whitening treatment that your teeth are checked by a Dentist or Oral Health Therapist to ensure that your teeth are structurally sound and therefore safe to commence with a whitening procedure to make sure the risk of damage to teeth is minimised.
Extra care must be taken when using a strong hydrogen peroxide whitening treatment. If the whitening gel touches the surface of the soft tissues, it can cause chemical burns. For example, if it touches the lips, gums and tongue, these burns will often turn into ulcers before they heal. In the dental clinic barriers are placed over the gum area while undergoing professional ‘In chair’ whitening treatment to help reduce this risk.
Teeth whitening can cause teeth to become sensitive to cold temperatures. Sometimes this can be very severe. For example, breathing air can be painful. Before you begin teeth whitening treatment, your dentist will give you advice about how to prevent or treat any sensitivity you may experience.
Can I whiten my porcelain crowns, or veneers and white fillings?
Teeth whitening gel will only lighten the colour of tooth enamel. The treatment will not change the colour of porcelain veneers/crowns or composite (white) filling material.
Before undergoing whitening treatment with a dental clinician they will check your teeth for any restorations that may be more prominent following teeth whitening treatment.
Can I whiten my teeth while I am pregnant?
Teeth whitening treatment is not recommended for women who are pregnant or breastfeeding.
If you are thinking about using a whitening toothpaste during pregnancy or breastfeeding, it is best to get advice from your doctor or dentist first.
If you are interested in whitening your teeth, talk to our team at Urban Dental Studio by phoning 09 2160915 or emailing info@urbandentalstudio.co.nz about the best treatment option for you.
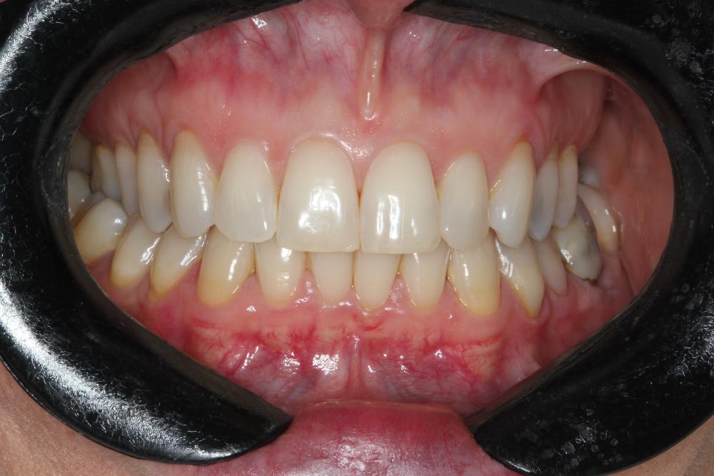
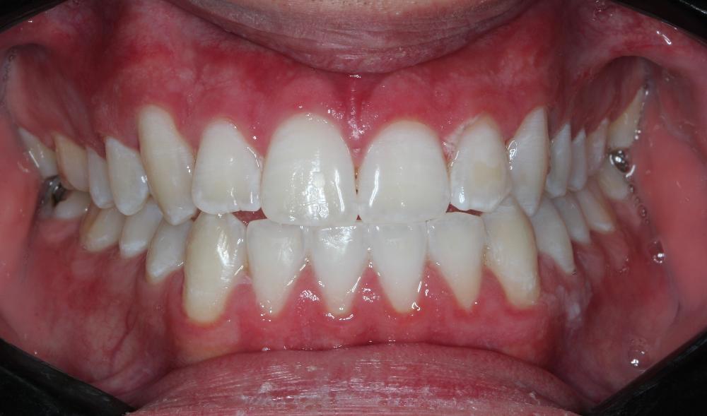
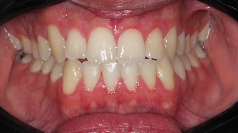
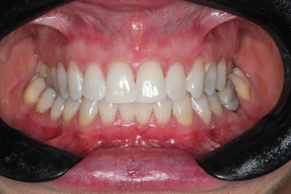
See some of our patients results:
Resources
Teeth.org.au (2024) Teeth Whitening.
New Zealand Dental Association | Tooth Whitening (nzda.org.nz)
